Warning: gethostbyaddr(): Address is not a valid IPv4 or IPv6 address in /var/www/html/img/phplib/result.php on line 25

虹裏imgのログ庫

トップページへ戻る
ログファイル 情報
歯間ブラシ多少縦横入 - 二次元裏@ふたば
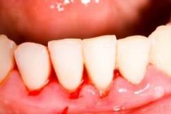
歯間ブラシ多少縦横入れてワシワシやって出る程度の血は
その時点で歯周病的な菌の繁殖の良くない血溜まりだから放っておくよりたまに痛くてもその血が出る程度にガシガシやった方がいいみたいに昔歯医者に言われてやってる
歯磨きもいいんだけど歯の上下左右というか横というか歯茎の谷にアプローチしろ的な
http://img.2chan.net/b/res/1372085854.htm
保存時刻:2025/11/13 07:11:57
202 レス / 0.2 MB / 2 files download

ダウンロード

zip形式 (約 0.2 MB)
img.2chan.net_b_res_1372085854.zip
251113_1372085854_歯間ブラシ多少縦横入_-_二次元裏@ふたば.zip
+旧形式でダウンロード
img.2chan.net_b_res_1372085854.zip
251113_1372085854_歯間ブラシ多少縦横入_-_二次元裏@ふたば.zip
mht形式 (約 0.3 MB)
img.2chan.net_b_res_1372085854.mht
251113_1372085854_歯間ブラシ多少縦横入_-_二次元裏@ふたば.mht

注意点


powerd by FTBucket